MENU
  • 予防矯正(5~8歳)
  • 1期矯正(8~11歳)
  • 症例紹介
岡山市東区のさかい歯科クリニック 小児矯正専用サイト
  • 予防矯正(5~8歳)
  • 1期矯正(8~11歳)
  • 症例紹介
  1. ホーム
  2. 症例紹介

症例紹介– archive –

  • すべて (6)
  • すきっ歯 (1)
  • ガタガタ・八重歯 (1)
  • 出っ歯 (2)
  • 受け口 (2)
  • 深い嚙み合わせ (0)
  • 開咬 (0)
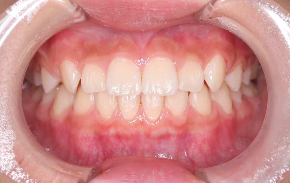
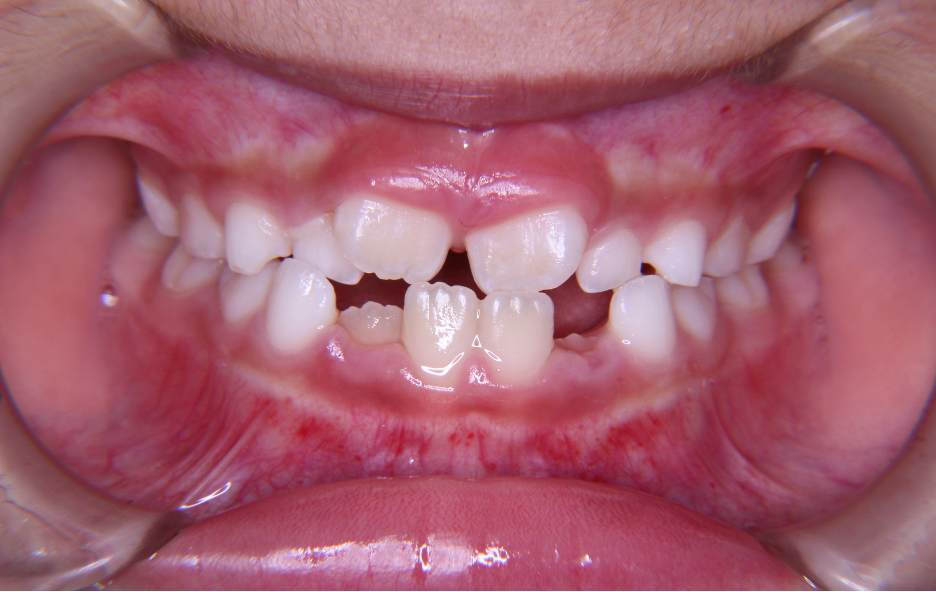
  • Before
    before
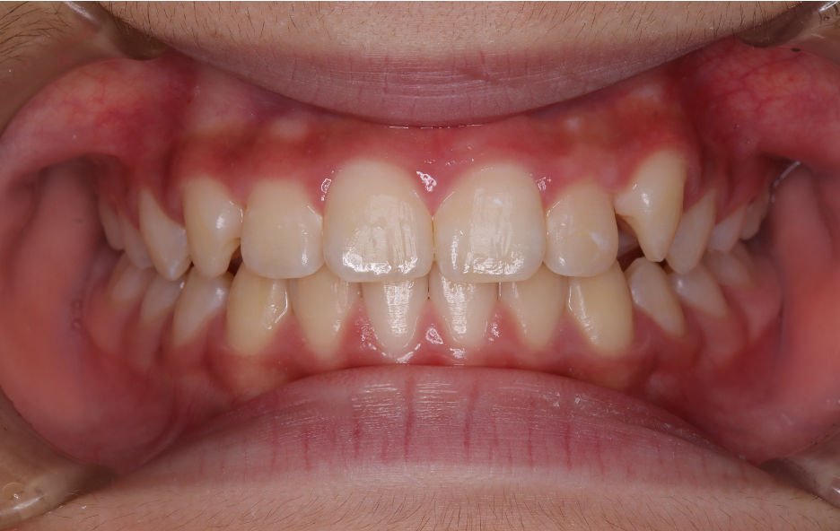
    After
    after
    9歳女児 出っ歯が気になる
    出っ歯
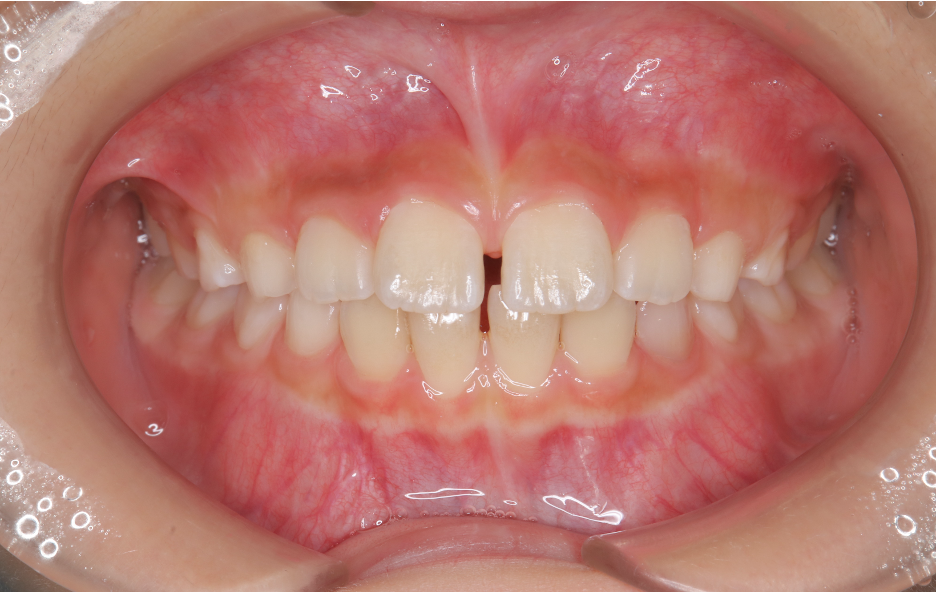
  • Before
    before
    After
    after
    9歳男児 前歯のガタガタが気になる
    ガタガタ・八重歯
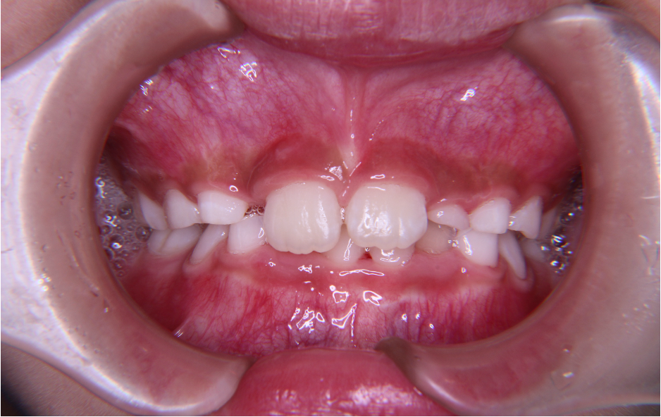
  • Before
    before
    After
    after
    7歳男児 反対咬合が気になる
    受け口
  • Before
    before
    After
    after
    7歳男児 反対咬合が気になる
    受け口
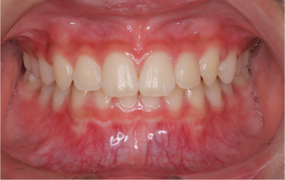
  • Before
    before
    After
    after
    7歳女児 出っ歯が気になる
    出っ歯
  • Before
    before
    After
    after
    8歳男児 前歯の隙間が気になる
    すきっ歯
1

〒709-0626
岡山県岡山市東区中尾101-1

TEL 086-278-7800

月火水木金土日
9:00~13:00○○○休診○8:30
~12:30
休診
14:30~18:00○○○
~18:30
休診○13:30
~16:30
休診

当院は予約優先制となっております。
受付は診療時間終了の30分前までとさせていただきます。

休診日 木曜日・日曜日・祝祭日

© さかい歯科クリニック小児矯正.All Rights Reserved.

  • お電話での予約