「このままで大丈夫?」
その不安を、笑顔に変える矯正です。
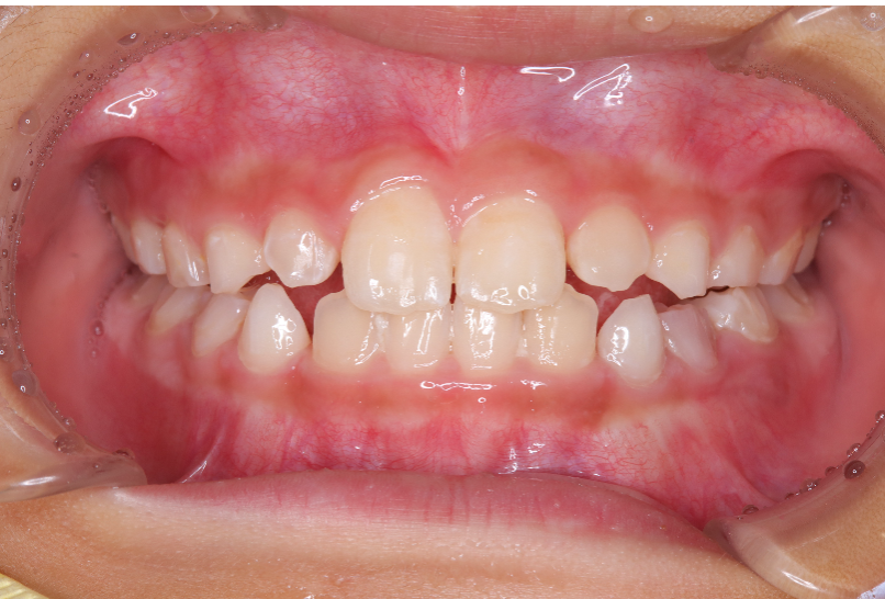
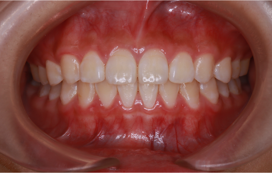
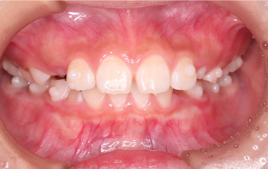
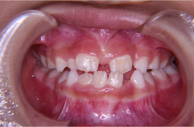
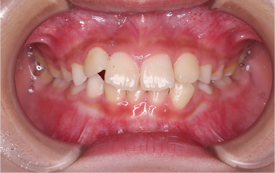
症例紹介
こんなお悩みはありませんか?

おくちがポカンと
あいている

姿勢が悪い

よくいびきをかく

食べるのが遅い

噛まずに丸のみしている

舌が前に出る
(話すとき・飲み込むとき)
実はこれらは…
“歯並びが悪くなるサイン”かもしれません
これらの歯並びを悪くしているお口のくせ、
つまり『根本原因』から治す治療法
それが マイオブレース治療 です
マイオブレースによる
『予防矯正』とは?
さかい歯科 小児矯正フローチャート


歯並びではなく、“原因”から整える矯正治療です。

マイオブレースは、歯並びを悪くしている原因である
“お口のクセ”を改善しながら、歯並びを整えていく治療です。
舌の位置
呼吸
姿勢
飲み込み方

- 痛みはほぼない
- 楽しみながら無理なく続けられるトレーニング
- 将来の後戻りリスクを抑える
歯並びを根本から整えることができます
治療方法

1
マウスピースの装着
日中1時間+就寝時に装着します

2
トレーニング(MFT)
舌・呼吸・姿勢のトレーニングを行います

3
習慣の改善
日常生活のクセを一緒に改善していきます
さかい歯科では、
歯科医師・お子さま・保護者でチームとなって取り組み、
無理なく続けられるようサポートします
歯並びだけを整えるのではなく、
将来を見据えた“根本改善”を目指します
まずはお気軽にご相談にお越しください!
受付時間 / 午前 AM9:00~PM1:00
午後 PM2:30~PM6:00
では、原因を整えても歯並びが気になる場合は
どうすればいいのでしょうか?
その答えは…
インビザラインファースト
による矯正治療です
こんな歯並びのお子さまはご相談ください

前歯が
ガタガタしている

八重歯が気になる

すきっ歯

出っ歯

受け口
(反対咬合)

前歯で噛めていない

噛んだ時に
下の前歯が見えない

上下の歯の中心が
ずれている
マイオブレースで“土台”を整えたあとに行うことで、
よりきれいな仕上がりが期待できます
インビザラインファーストによる
『1期矯正』とは?
さかい歯科 小児矯正フローチャート


歯並びを整えるための、透明のマウスピース矯正治療です。

インビザラインファーストは、
透明なマウスピースを使って少しずつ歯を動かしていく矯正治療です。
目立ちにくく、取り外しができるため
日常生活への負担を抑えながら治療を行えます。

- 目立ちにくい
- 痛みが少ない
- 取り外しが可能で衛生的
- 無理なく続けやすい
歯並びをきれいに整えることができます
治療方法

1
マウスピースの装着
1日20時間以上装着します

2
数日に1回定期的な交換
段階的に歯を動かしていきます

3
来院は数か月に1回でOK
定期的に歯並びの移動の状態を確認します
さかい歯科では、
マイオブレースでお口の“土台”を整えたうえで、
インビザラインファーストによる歯並びの仕上げを行います
原因
(マイオブレース)
仕上げ
(インビザライン)
2ステップでの治療で最大限の効果を発揮します
インビザラインファーストは、成長期に行うことでお子さまの成長を最大限に活かせる治療です。
ただし、成長には個人差があるため、 歯の生え変わりや顎の成長に応じて、 最終的な調整が必要になる場合があります。
その際は2期矯正による仕上げのサポートも行っています。
顔つきなども踏まえて、抜歯矯正などのプランも含めてそれぞれのお子さまにあった治療をご提案させていただきます。

あくまで1期矯正で歯並び・顔つきのゴールを目指します。
そのため無理に2期矯正をおすすめすることはありません。
機能的、必要な場合のみご提案いたします。
まずはお気軽にご相談にお越しください!
受付時間 / 午前 AM9:00~PM1:00
午後 PM2:30~PM6:00
「うちの子にはまだ早い」と思っていませんか?
周りにやっている子は
まだ少ないし…
自然に良くなるかも
しれないし…
本人がやりたくなってからでいいかなぁ…

大切なお子さまだからこそ慎重になってしまい、先送りにしていませんか?
さかい歯科クリニックでの
小児矯正にはメリットがたくさんあります!!
骨格的な問題に
アプローチできる

お口の機能も
改善できる

痛みを
伴いにくい

目立たない
マウスピースで
負担が少ない

将来の本格矯正が
軽くなる・
不要になる
可能性がある

結果として
抜歯を避けられる
可能性がある

段階的な
お支払いで
負担を抑えて
治療ができる

矯正治療を
通して、将来の
「歯医者嫌い」を
予防できる

矯正治療の流れ
初回無料相談
まずは矯正相談にご来院ください。
歯の悩みを伺った上で小児矯正について説明をさせていただきます。
相談後、実際に治療を希望される方には精密検査の予約をお取りいただきます。

精密検査
レントゲン撮影、口腔内スキャナーでの撮影、顔貌写真の撮影を行います。
これらのデータをしっかりと分析させていただき、後日治療方針のご報告をさせていただきます。

検査結果のご報告
精密検査の結果をもとに作成した資料で『具体的な治療法』『、メリット、デメリット』『治療の費用』『治療の期間の目安』などわかりやすく説明いたします。

小児矯正開始
実際に装置を発注し予防矯正または一期矯正治療が開始します。
治療期間中は、数ヶ月に一回の来院をいただきお口の状態を確認いたします。

保定期間・メインテナンス
矯正治療後には後戻り防止するための『保定期間』を設けております。
後戻りがないか、顎の成長による不調和がないかを確認しながら定期的なメインテナンスを行なっていきます。

料金体系
当院では、お子さまの成長に合わせて無理のない治療を選択できるよう料金設定を行っています。
例えば、予防矯正から1期矯正へ移行する場合や1期矯正から2期矯正へ移行する場合などは 差額のみで治療を行うことが可能です。
追加での矯正治療が必要な場合でも、差額のみで進められる安心の治療システムです


※表示されている金額は全て(税込)です

お子さまの成長には個人差があるため最適な治療は一人ひとり異なります。
早期に介入した方が良い場合もあれば、少し成長を待ったほうが良い場合、
歯を抜かずに綺麗に仕上がる場合や、歯を抜いたほうが綺麗に仕上がる場合などさまざまです。
そのため当院では保護者の方に安心して治療を受けていただけるよう柔軟な料金設定としています。
お子さまの成長に寄り添いながら、
最後まで責任を持ってサポートいたします。
治療の進め方や費用についても丁寧にご説明いたしますので、
まずはお気軽にご相談ください。
まずはお気軽にご相談にお越しください!
受付時間 / 午前 AM9:00~PM1:00
午後 PM2:30~PM6:00
さかい歯科が選ばれる4つの理由

歯科医師向け小児矯正セミナーの講師が担当
専門的な知識と豊富な経験に基づき、お子さま一人ひとりに合わせた治療をご提供します。

歯並びだけでなく“成長”を見据えた治療
歯並びだけを見るのではなく、呼吸・姿勢・舌の使い方まで含めてお子さまの健やかな成長をトータルでサポートします。

お子さまが「通いたい」と思える環境づくり
小児矯正治療は長期にわたるため、継続して通っていただける環境づくりが何より大切です。
そのため当院では、日々の診療からお子さまとのコミュニケーションを大切にし、「また来たい」と思っていただける関係づくりを心がけています。

安心して続けられる料金システム
矯正治療において不安の一つとなる費用面についても、できる限りご負担を抑え、より多くのお子さまに適切な矯正治療を届けられるよう努めています。
よくある質問
まずはお気軽にご相談にお越しください!
受付時間 / 午前 AM9:00~PM1:00
午後 PM2:30~PM6:00
担当医紹介

坂井 優
Yu Sakai
経歴
| 2020年 | 広島大学歯学部卒業 岡山大学病院総合歯科、倉敷成人病センターにて研修 |
| 2021年 | 医療法人 しんくら歯科医院 勤務 小児歯科、小児矯正、成人矯正を中心にインプラント等多岐にわたる治療を担当 |
| 2026年 | のざき歯科・東広島おとなこども歯科 勤務 さかい歯科クリニック 副院長就任 |
資格・所属
- インビザラインドクター
- 日本小児歯科学会
- 日本スポーツ歯科医学会
- BTB(Back To Basics)
- 日本小児矯正研究会 Young Fuculty
講演・発表歴
学術発表
- 小児歯科学会 地方会 2024 ポスター発表 広島
混合歯列期の狭窄歯列に対してインビザライン・ファーストシステムを用いて歯列弓幅 径の改善を行った1例 - 小児歯科学会2025 ポスター発表 新潟
混合歯列期のオーバージェットに対してMFTとインビザライン・ファーストシステムを併用して早期の改善を行った1例 - 小児歯科学会2026 ポスター発表 沖縄
Early Treatment of Skeletal Anterior Crossbite in Pediatric Patients:A Case- Based Approach Targeting Environmental Factors - BTB第1回総会 岡山
なぜ、今小児歯科なのか?~早期矯正治療の可能性~ - 日本小児矯正研究会 床矯正フォーラム 広島
乳歯列期及び混合歯列期の逆被蓋に対する筋機能装置及びBFTを用いた早期治療の可能性 - 日本小児矯正研究会 全国大会 ポスター発表 大阪
混合歯列後期におけるインビザライン・ファーストシステムを用いた早期治療の1例
セミナー開催
- しんくら塾 ~インビザラインファーストセミナー~
歯科関係者向けのインビザラインの導入セミナーにて総合プロデューサーとして講義資料の作成、インストラクターを務めました
歯科医院様での講演
- みずたにおとなこども歯科クリニック様(大阪)
”伝える“という治療法 - つむぎ歯科医院様(岡山)
なぜ今、小児歯科なのか? - 鶴田歯科医院様(長崎)
なぜ今、小児歯科なのか? - みらい歯科様(岡山)
小児矯正導入セミナー2日間コース
資料提供
- しんくら歯科医院 藤井秀紀先生 OneDセミナー
『小児のアライナー矯正』 資料提供 - しんくら歯科医院 藤井秀紀先生
『大阪堺市歯科医師会特別講演』 資料提供
その他
- 船井総研主催 大阪、東京
『”院長だけが忙しい“からの脱却~スタッフが売り上げを作る医院作り~』 - 船井総研主催 中国・上海
『日本を代表する予防型歯科医院のビジネスモデル』
元勤務先である しんくら歯科医院の勤務医を代表して、日本だけでなく中国でも講演を行いました - 浮田小学校 安全保健委員会主催
『目指せ綺麗な歯!口の呼吸、歯並びの型! 』
地元浮田小学校にて正しい歯並び獲得のための呼吸に関する授業を行いました
小児矯正への思い
私自身、幼少期にワイヤー矯正での抜歯矯正による小児矯正を経験しており、お子さまや保護者の方が感じる負担の大きさを実感してきました。
だからこそ当院では、まずは根本原因にアプローチし、歯並びが悪くならないための『予防矯正』、そして治療が必要な場合にはできるだけ負担を少なく、無理なく続けられる『一期治療』としてマウスピース矯正による治療に力を入れています。


ワイヤーによる矯正治療はもちろん実績もあり素晴らしい治療ですが、自分が小さい頃にマウスピース矯正があり、適応症例であったら迷わずマウスピース矯正を選んでいたなぁと感じております。それくらい、マウスピース矯正で子どもたちが負担なく綺麗な歯並びに仕上がる様子を実感してきました。
ですが、小児矯正において最も大切なのはそれぞれのお子様に合った最適な治療を提供することであると考えております。
必要であればワイヤーによる治療も行なったり、抜歯矯正を行うなど、型に当てはめた治療ではなく、それぞれのお子様の成長・発達段階に合わせた寄り添った治療を提供したいと考えています。
小児矯正は、成長に合わせた素晴らしい治療ですが、同時に長期のお付き合いにもなります。
この先生なら任せられる!と思っていただけるようなコミュニケーションを普段から意識し、審美面・機能面の両方を大切にしながら、最後までしっかりとサポートさせていただきます。
地元・岡山市東区のお子さまのお口の健康を、長く支えていける存在でありたいと考えています。







