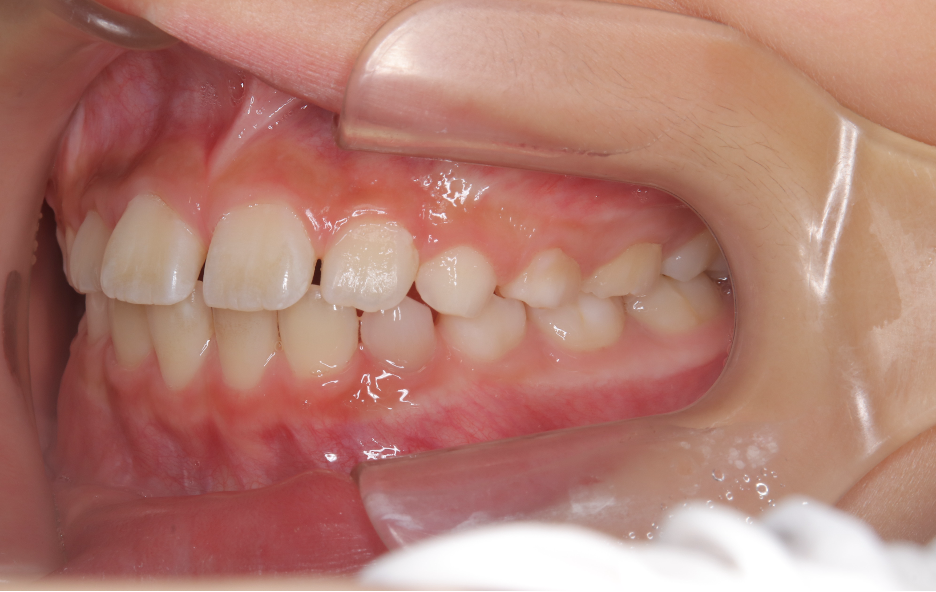
Before
▶
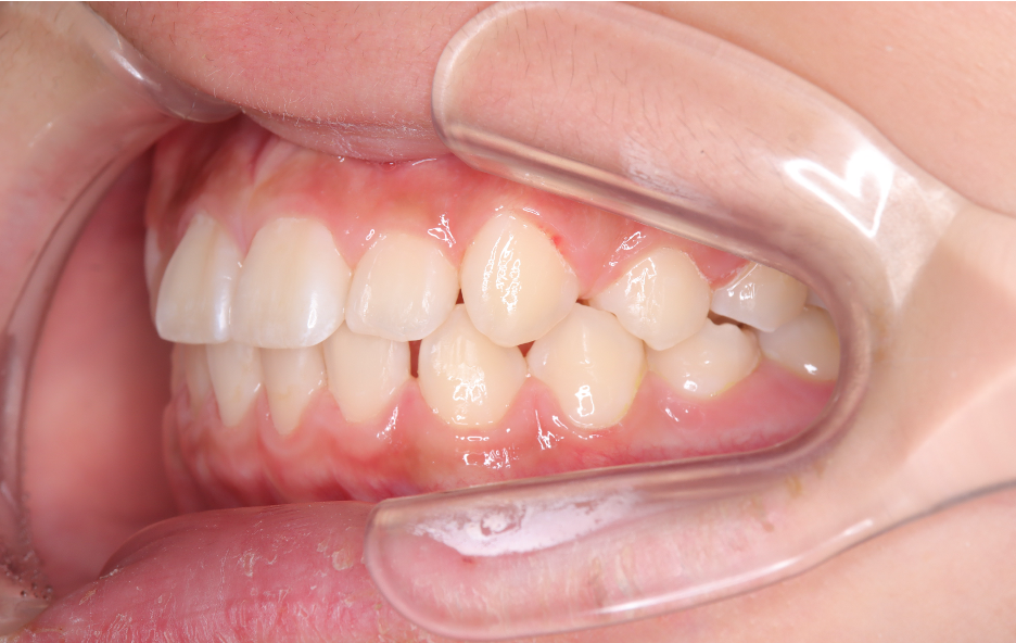
After
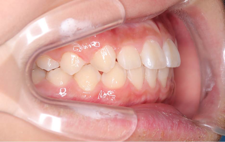
▶
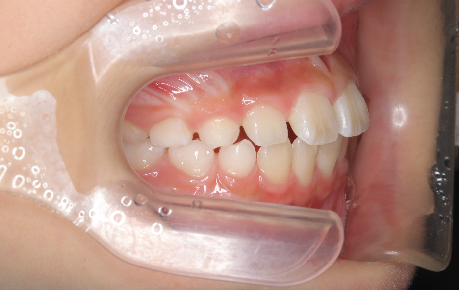
▶
| 年齢・性別 | 8歳 男の子 |
|---|---|
| 悩み | 前歯の隙間気になる |
| 施術内容 | インビザラインファーストによる一期矯正 |
| 治療期間 | 1年4ヶ月 |
| 費用(税込価格) | 440,000円 |
| リスク・副作用 | 全ての方で疼痛、咬合痛、歯根吸収、歯肉退縮、歯髄壊死が生じる可能性があります |
| その他注意点 | 指定した時間マウスピースを装着していただけない場合は治療期間が長くなる場合がございます |



